Etiket: siegel

Sağlık

Çin'deki salgının ardından Hollanda'da çocukluk çağı zatürresinde...

Sağlık kuruluşları, Hollanda ve Çin'de çocukluk çağı zatürre vakalarının arttığını bildirdi. Solunum yolu enfeksiyonlarındaki gizemli...

Sağlık

Soğuk algınlığı ve gribin evinize yayılmasını nasıl önleyeceğiniz...

Fox News tıbbi yazarı Dr. Marc Siegel ve Cedars-Sinai çocuk doktoru Santhosh Nadipuram, soğuk algınlığı ve gribin evinizde yayılmasını...

Sağlık

Güneybatı Ohio'da çocukluk çağı zatürre salgını bildirildi:...

Ohio'nun güneybatısındaki Warren County'de pediatrik bir pnömoni salgını rapor edildi. Warren County Sağlık Bölgesi, ağustos ayından...

Sağlık

COVİD ve grip aşılarını aynı anda mı yaptırmanız gerekiyor?

Yeni çalışma bulgularına göre, Kovid-19 ve grip aşılarını aynı anda yaptırmak güvenli ve hatta faydalı olabilir; ancak bazı doktorlar...

Sağlık

28 Ekim'de Matthew Perry'yi öldüren ilaç olan ketamin nedir?

Matthew Perry'nin 28 Ekim'deki ölümünden yaklaşık 7 hafta sonra, Los Angeles Bölgesi Tıbbi Muayene Departmanı ölüm nedenini "ketaminin...

Sağlık

Kahve ve COVID: Günde 1 veya 2 fincan içmek viral hastalığın...

Çin Tıp Üniversitesi'nin yeni bir araştırması, her gün kahve içmenin Kovid-19'a karşı koruma sağlayabileceğini öne sürüyor. Fox News...

Sağlık

Araştırmacılar, titreşimli kilo verme hapının Ozempic ve...

MIT'deki mühendisler, yakında obezite tedavisine alternatif olarak kullanılabilecek yeni bir titreşimli hap geliştirdiler. Dr. Marc...

A.B.D.

ChatGPT şefi, yapay zekanın geliştirebileceği bazı 'insanüstü'...

OpenAI CEO'su Sam Altman, bir gün yapay zekanın "insanüstü ikna" becerilerine sahip olabileceğine ve bunun da "tuhaf sonuçlara" yol...

Sağlık

Ölümcül cilt kanseri aşısı klinik denemede 'çığır açıcı'...

Moderna'nın Faz III denemelerine giren yeni cilt kanseri aşısı için umut verici sonuçlar açıklamasıyla melanom hastaları için yeni...

Sağlık

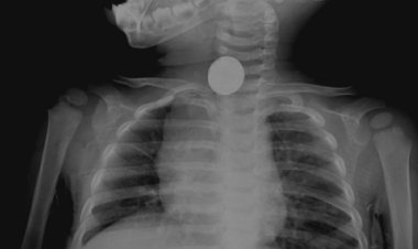
CDC verilerine göre bunlar insanların vücuduna sıkışan...

CDC verilerine göre, "İnsanların vücutlarına sıkışan yabancı cisimler", 2021'de acil servis ziyaretlerine yol açan kasıtsız yaralanmaların...

Sağlık

CDC, Kaliforniya'daki ölümcül Rocky Dağları'ndaki ateş...

CDC'nin tavsiyesine göre, Güney Kaliforniya'da bildirilen Rocky Dağı benekli humması salgını üç ölüme yol açtı. Dr. Marc Siegel sağlık...

Sağlık

New York sağlık yetkilileri çocuklar arasında boğmaca salgını...

Sağlık yetkililerine göre New York Long Island'da boğmaca (boğmaca) salgını bildirildi. Bir eczacı ve bir tıp doktoru düşüncelerini...

A.B.D.

Robotlar daha güvenilir bir Vikipedi yaratabilir: çalışma

Yeni bir araştırmaya göre, Vikipedi gibi çevrimiçi ansiklopedileri oluşturmak veya denetlemek için yapay zekanın kullanılması, daha...

Sağlık

Çevrimiçi sağlık bilgilerini zorunlu olarak mı arıyorsunuz?...

Çevrimiçi olarak sağlık bilgileri için takıntılı bir şekilde arama yaparsanız, siberkondri adı verilen bir duruma sahip olabilirsiniz....

A.B.D.

Yeni teknoloji, evlat edinen ebeveynlerin engelleri aşmasına...

Evlat edinme sürecini kolaylaştırmaya yardımcı olmak için tasarlanmış bir yapay zeka aracı olan Family-Match'e ilişkin bir araştırma,...

A.B.D.

Uzman, yeni teknolojinin 'fişten çekilmesinin' insanları...

Yapay zeka yakında buluttan ve internetten "çıkarılabilir" ve büyüyen teknolojiyle birlikte kullanıcılara daha kişisel ve özel bir...

A.B.D.

Yeni teknolojinin gelecekteki kalp krizini tespit etme...

Bir çalışma, büyük veri kümelerini analiz etmek için yapay zekanın kullanılmasının, doktorların yüksek riskli hastalarda ani kalp...

A.B.D.

Uzmanlar Biden'ın yapay zekaya ilişkin idari emrini 'ilk...

Başkan Biden, hükümetin yeni teknolojiyi düzenlemek için bugüne kadar attığı en önemli adım olan yapay zekaya ilişkin bir başkanlık...